首页 科研教学 教学动态 详细

科研教学

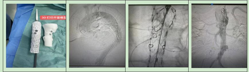
心血管内科介入团队成功应用3D打印开窗技术完成首例胸腹主动脉覆膜支架手术及内脏动脉血运重建术

发布时间:2024.03.20 来源部门:心血管内科二病区
作者: 杨丽梅 吴军

近日,心血管内科介入团队为一例74岁患者成功应用3D打印开窗技术完成首例胸腹主动脉覆膜支架手术及内脏动脉血运重建术。该例手术的成功开展,标志着我院心脏介入水平在大血管领域又一重大医疗技术突破,填补了崇州地区该项技术的空白,对进一步提升我院介入医疗技术水平具有重要意义。

“幕后真凶”

74岁的朱婆婆10多年来一直饱受上腹痛的折磨,多次于外院检查发现“胆囊结石”,此次因再发腹痛加重收入我院拟行胆囊切除术。但患者腹痛的真相真的这么简单吗?经详细的问病史和查体后发现其腹痛无法以单纯的胆囊炎解释,完善胸部CT提示胸腹主动脉增粗,进一步完善胸腹主动脉CTA检查发现胸腹主动脉瘤伴壁内血肿及多发溃疡形成,伴腹腔干及肠系膜上动脉管腔狭窄。原来导致朱婆婆反复上腹痛的幕后真凶竟是一种凶险而危急的疾病---胸腹主动脉瘤。

“见弹拆弹”

胸腹主动脉瘤被称为腹腔内的不定时“炸弹”,随时有发生破裂出血风险,死亡率极高。我院心血管内科吴军主任高度重视患者病情,联合肝胆外科、呼吸科、麻醉科、放射科等科室进行多学科讨论、分析后指出,患者有行介入手术治疗指征,但该患者手术难点在于胸腹主动脉瘤及壁内血肿、溃疡病变累及广泛,在行支架植入的同时应保证相应分支血管支配的内脏血供,经详细讨论后最终制定了应用3D打印开窗技术行胸腹主动脉覆膜支架术及内脏动脉血运重建的手术方案,该项手术难度大,风险高,家属同意手术,经过充分的术前准备,在麻醉科全麻护航下,历经5个多小时紧张又精准的手术操作后,胸腹主动脉覆膜支架植入成功、贴壁好,造影显示左锁骨下动脉、腹腔干、肠系膜上动脉、双肾动脉显影佳,手术顺利结束。术后患者转危为安,上腹痛症状缓解,在医护精心照料下,患者术后恢复良好,目前已康复出院。

崇州市人民院心血管内科介入团队,年完成手术2000余台次,能熟练运用主动脉球囊反搏、冠脉血流储备分数测定、血管内超声(IVUS)等完成复杂、高危冠状动脉病变的介入治疗,开展单腔/双腔永久起搏器植入、单腔/双腔ICD植入、无导线起搏器植入、主动脉夹层介入治疗、腹主动脉瘤介入治疗、左心耳封堵术、肺动脉介入治疗、肾动脉狭窄支架植入治疗、髂狭窄支架植入治疗、锁骨动脉狭窄支架植入治疗、髂动脉狭窄支架植入治疗、冠状动脉瘘介入治疗、卵圆孔未闭封堵治疗、动脉导管未闭封堵治疗、房间隔缺损封堵治疗等。

       供稿:心血管内科二病区 杨丽梅 吴军

         文字编辑:宣传科 安宁

扫一扫,手机端浏览